Icon
Missão

Promover a saúde bucal e proporcionar serviços odontológicos de qualidade e preço justo, através de uma odontologia objetiva e moderna, projetada para oferecer conforto e segurança a toda população.

Icon
Visão

Tornar referência em atendimento que ofereçam soluções aos mais variados tipos de tratamentos com competência e eficiência, garantindo assim uma melhor qualidade de vida e auto-estima dos nossos pacientes.

Icon
Valores

Respeito, confiança, harmonia, transparência, integridade e comprometimento.

Reabilitamos a função estética e oral dos pacientes, proporcionando as experiências mais agradáveis possíveis, durante e após o tratamento.

Buscamos a credibilidade por sermos verdadeiros, transparentes e respeitosos em todas as relações estabelecidas.

Dr. Fabiano Falasque

Consultório Odontológico

Nossa ênfase está na aproximação personalizada e criteriosa de cada um de nossos pacientes. No nosso consultório todos são tratados como indivíduos e por isso merecem todo o nosso respeito e consideração. Nós oferecemos aos nossos pacientes o que há de mais moderno e avançado na odontologia atual, tornando métodos anteriormente dolorosos em procedimentos indolores e rápidos.

Qualidade
Há mais de 15 anos atendendo com qualidade nossos pacientes!
Segurança
Técnicas, instalações e equipamentos modernos para oferecer a você o melhor da Odontologia!

Referência em Odontologia

Confira Nossas Especialidades!

Icon
Dentística

É a especialidade da odontologia que cuida da estética, estrutura e função dos dentes.

Icon
Endodontia

Realiza o diagnóstico, tratamento e prevenção das doenças que atingem a parte interna do dente.

Icon
Ortodontia

Tem como objetivo corrigir a posição dos dentes e dos ossos maxilares posicionados de forma inadequada.

Icon
Facetas

São próteses muito finas, feitas em resina ou porcelana, utilizadas para garatir aos dentes uma melhor aparência.

Icon
Periodontia

É a especialidade odontológica que estuda, diagnostica, previne e trata as doenças gengivais e periodontais.

Icon
Implantodontia

Se destina ao tratamento do edentulismo com reabilitações protéticas suportadas ou retidas por implantes dentários

Fale com a gente

Revele o que há de melhor em você!

Temos o intuito de proporcionar aos nossos pacientes conforto, rapidez e resultados satisfatórios em todos os tratamentos realizados.

Restauramos sorrisos e cuidamos da sua saúde bucal com toda comodidade e segurança que cada um merece.

41 3289-9476

Formulário

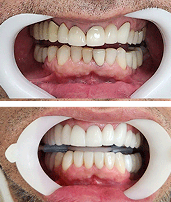
Alguns dos nossos antes e depois já realizados!

Procedimentos Estéticos

Depoimentos

Alguns de nossos pacientes satisfeitos!